创伤、肢体矫形技术解决方案的专业服务商
多年研发小儿骨科 足踝外科 肢体矫形产品 手术器械

400-098-2859
全国服务热线
上海开为医药科技有限公司欢迎您!

后踝骨折:改良术中3D控制下内向外微创固定技术,效果如何?

浏览数:25 

来源:医学时空


后踝骨折对踝关节稳定性及长期功能有显著影响。后外侧边缘骨块代表后下胫腓联合复合体的骨性撕脱,且后踝损伤与创伤后踝关节炎风险增加相关,与骨块大小无关。恢复后外侧骨块解剖位置对腓骨切迹、胫骨远端关节面和后下胫腓联合复合体稳定性至关重要,精准复位腓骨切迹可避免复位不良,减少额外固定需求。传统上,侧位X线片显示后踝骨块涉及胫骨远端关节面超过25%时,通常建议手术固定,但该标准常低估骨块复杂性。随着CT扫描的普及,骨折形态评估得到了修正,改变了手术方案,因此CT已成为术前评估的重要工具。近年来,术中三维成像技术可用于术中实时评估复位质量,这减少了对术后CT扫描的依赖,并可能避免二次手术。

尽管如此,后踝骨折的**手术方案仍有争议。患者功能恢复与骨折严重程度和形态密切相关。研究表明,与间接固定或单纯下胫腓联合固定相比,直接固定后踝骨块提供更好的稳定性。因此,骨折形态和相关损伤是决定手术入路的关键因素。后踝骨块固定可通过切开复位内固定(螺钉/钢板)或微创经皮复位螺钉固定实现。传统经皮固定采用前向后拉力螺钉,但此方法存在复位控制不充分、骨块加压不足的风险。为克服这些问题,后续技术改进引入了从后向前加压螺钉,并提出内向外入路的改进技术。

本文介绍了一种结合术中三维透视控制的内向外技术,采用无头双螺纹加压螺钉对后踝骨块进行经皮由后向前固定。



01
图片
术前诊断

踝关节骨折的标准诊断包括踝部及侧位双平面X线片。如果怀疑Maisonneuve损伤,还需拍摄膝关节和小腿的双平面X线片。然而,由于踝关节面的复杂形态,仅凭X线片难以准确评估细微的关节不匹配、台阶移位或内植物位置。术中评估不充分常常导致术后需要CT复查,那些未被发现的复位不良或内植物位置异常,不仅是常见的翻修手术原因,也与不良临床结局相关。术中三维成像设备的普及,实现了复位质量及内植物位置的术中实时评估,这显著降低了对术后CT扫描的依赖,有助于避免不必要的二次手术。

02
图片
术中三维透视控制

术中三维透视的应用极大提高了踝部骨折复位及内植物置入的准确性。传统二维透视常难以清晰显示踝关节后内侧区域的复杂结构关系。相比之下,三维C臂透视可在手术室内实现多平面评估,减少未被发现的复位不良或关节内螺钉穿入的风险。准确评估后踝关键骨块、中间骨块、腓骨切迹及相关骨折成分至关重要。临床研究表明,即使传统透视显示复位满意,术中三维成像仍可能提示约三分之一的病例需要进行调整。此项技术提供的即时反馈,允许在关闭切口前纠正问题,有望降低翻修率并改善功能预后。当然,术中三维成像亦有局限:其图像分辨率及视野不及术后CT,且缺乏对侧参考,难以判断细微的旋转畸形。此外,图像采集与重建会略微增加手术时间及辐射暴露风险,尽管现代低剂量CT已减少了这些影响。设备成本及可及性也限制了其广泛应用。

尽管如此,对于涉及后踝及下胫腓联合的复杂踝关节骨折,术中三维成像代表了骨折手术迈向精准化的重要进步。在本技术应用中,三维透视专门用于评估以下需立即纠正的情况:(1)关节面残余阶梯样移位≥1 mm;(2)后踝骨块移位>1–2 mm;(3)螺钉穿入关节腔内

03
图片
分型

踝关节骨折日益复杂,传统的X线片分型系统可靠性有限。基于多层螺旋CT三维重建的成像技术,能够精确描绘骨折形态。为此,本文采纳Bartonček等人提出的CT分型系统,该系统区分五种骨折类型,并为手术决策提供指导。

1 型:关节外骨折块伴完整的腓骨切迹。

2 型:延伸至腓骨切迹的后外侧骨折块。

3 型:累及内踝的后内侧两部分骨折块。

4 型:大的后外侧三角形骨折块(累及超过三分之一的腓骨切迹)。

5 型:不规则、骨质疏松性骨折块。

image.png

图1. Bartonček等人于2015年描述的基于CT的PMF分类

04
图片
病例描述

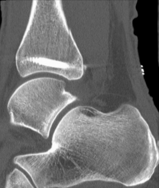
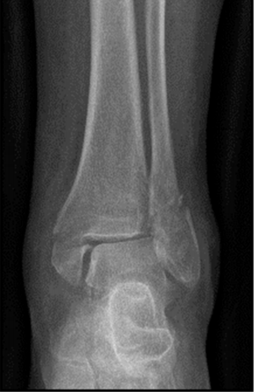
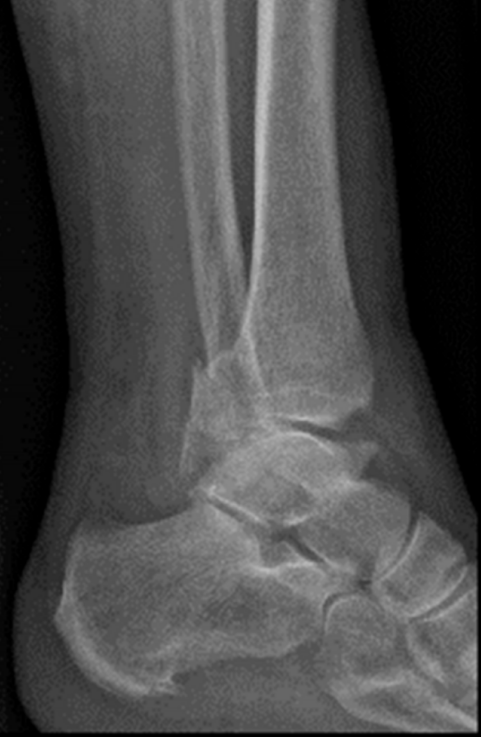
患者为83岁女性,于光滑平面滑倒后致三踝骨折,后踝为Bartonček 2型骨折,累及后外侧骨块及腓骨切迹(图2a–d)。相关合并症包括:骨量减少、软组织条件不良(皮肤呈羊皮纸样改变)、2型糖尿病(HbA1c 7.7%)。

image.png

(a)

image.png

(b)

image.png

(c)

image.png

(d)

图 2. (a–d):三踝骨折:(a) 前后位及 (b) 侧位X线片;(c) 轴位及 (d) 矢状位CT图像显示2型后踝骨折伴小中间骨块。

4.1
手术注意事项

复杂、不稳定、移位的踝关节骨折因骨折形态、关节受累及软组织覆盖脆弱而治疗挑战大。患者年龄增长及相关合并症(如外周动脉疾病、糖尿病、骨质疏松、长期使用激素)使治疗进一步复杂化。恢复生理的轴向、旋转及长度对线对于功能恢复及预防创伤后关节炎至关重要,但在软组织条件差时可能难以实现。

随年龄增长,根据Lauge-Hansen分型的旋前-内收型骨折更为常见。这类损伤具有常被低估、高度不稳定的特点,且常伴有下胫腓联合水平的不规则骨折。鉴于这些特性,一种能在限制手术创伤的同时实现解剖复位的微创固定技术具有显著优势。

4.2
使用无头双螺纹加压螺钉对后踝行由内向外固定

手术在单次抗生素预防及蛛网膜下腔麻醉下进行,患者取仰卧位。无菌准备铺单后,首先处理后踝骨折。采用改良后内侧入路,皮肤切口沿胫骨后缘胫骨后肌腱走行,向前弧形延伸至内踝尖。锐性分离皮下组织,显露并纵向切开胫骨后肌腱表面的屈肌支持带。钝性游离该肌腱,将其与趾长屈肌腱、神经血管束及拇长屈肌腱一并向后外侧牵开,显露胫骨后侧面。

仔细行骨膜下剥离后,显露后踝骨折,清除嵌入的软组织,使用尖头复位钳进行解剖复位并临时固定(图3a)。确认复位满意后,于胫骨平台外侧三分之一、骨骺瘢痕近端确定导针进针点。此位置允许建立垂直于骨折平面的由后向前螺钉轨迹,从而在**化加压的同时避免关节内穿入。

经一长约1厘米的纵向皮肤切口,显露胫骨前侧皮质。在透视引导下,并使用两把小号Longbeck拉钩保护伸肌腱及神经血管结构,将一枚用于4.5毫米无头双螺纹加压螺钉的1.6毫米导针,从前内侧向后外侧、以约5-10°的向远端倾斜角置入(图3b–d)。经术中三维透视确认导针位置正确后(图3e),测量所需螺钉长度。

image.png

(a)

image.png

(b)

image.png

(c)

image.png

(d)

image.png

(e)

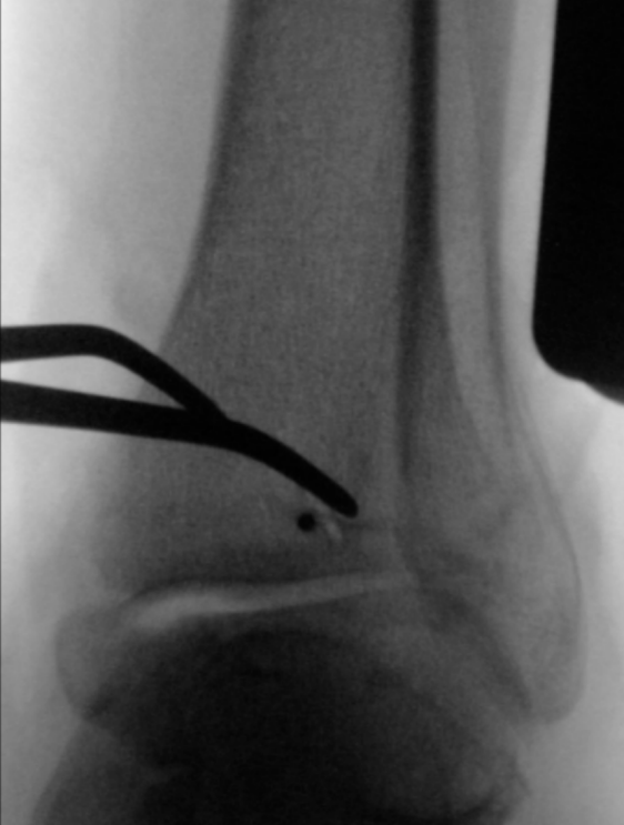
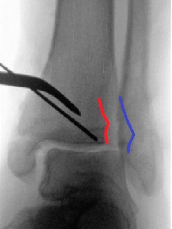
图3. (a–e): (a) 使用尖头复位钳临时固定;(b) 从前向后置入1.6毫米导针;(c) 踝穴位片,红线标记腓骨切迹后缘,蓝线标记前缘;(d) 点状末端视图证实轨迹位于切迹外;(e) 术中三维透视显示导针正确走行。

随后将导针继续向前推进,直至其尖端在跟腱外侧皮下可触及,同时轻柔地将跟腱向内侧推移。在导针尖端表面做小皮肤切口,拔出导针,用血管钳在跟腱外侧创建皮下通道以保护腓肠神经。沿此隧道重新置入导针,然后置入一枚38毫米长的4.5毫米无头双螺纹加压螺钉,直至其前部螺纹咬合前侧皮质、后部螺纹咬合后侧骨块,实现稳定的骨块间加压(图4a–c)。

image.png

(a)

image.png

(b)

image.png

(c)

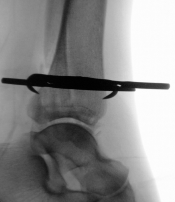
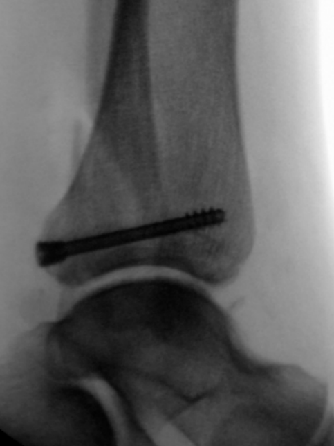
图 4. (a–c): (a) 术中外观,显示经改良后内侧入路使用尖头复位钳复位后踝骨折,导针已通过血管钳创建的皮下通道向后穿出;(b) 侧位透视显示无头双螺纹螺钉由后向前正确置入;(c) 后踝骨块解剖固定后的侧位投影。


4.3
关于双螺纹螺钉在复杂踝关节骨折治疗中的考量

研究表明,骨骺旁区域的松质骨密度较高,螺钉插入此区域可提供更好的加压和固定稳定性。因此,双螺纹无头螺钉已成为治疗复杂踝关节骨折,特别是后踝骨折的常见内植物。其双螺距设计既能有效加压骨块,又能避免螺钉头突出,避免干扰软组织恢复。低剖面设计使得可通过小切口固定,减少术后不适并促进早期活动恢复。生物力学研究显示,与胫腓联合固定相比,双螺纹螺钉能显著增强后踝骨块的旋转稳定性和扭转刚度。其设计有助于恢复关节面解剖,且无头设计可减少对肌腱,尤其是拇长屈肌腱的刺激,降低术后粘连风险。这些特点使其在微创手术中,尤其是软组织保护和有限暴露的技术中,具备重要应用价值。

然而,使用双螺纹螺钉时,需精确规划螺钉长度和螺纹咬合,确保一个螺纹段固定胫骨前侧皮质,另一个螺纹段固定后踝骨块,从而实现均衡加压并避免骨块移位。该技术仍需精确术前规划和术中成像,以避免复位不良或螺钉误置,防止损伤腓骨切迹或关节面。由于螺钉无头突出,骨整合后内植物的取出可能具有一定技术难度。近期生物力学分析显示,双螺纹设计在骨质疏松患者中可能导致过度加压或骨块移位。尽管已有回顾性研究显示双螺纹螺钉治疗的影像学和短期功能效果良好,但仍缺乏充分的前瞻性研究,未来的研究需进一步验证其在踝关节稳定性、功能恢复及创伤后关节炎预防中的长期临床效果。

4.4
经改良后内侧入路行内踝松质骨螺钉固定

后踝固定后,经同一后内侧切口处理内踝骨折。精细剥离骨膜并清除嵌入组织后,复位主要骨块并以球形顶棒维持。在双平面透视监控下,置入两枚平行的、用于4.0毫米部分螺纹松质骨螺钉的导针,部分预钻孔后,置入带垫圈的最终螺钉,确保螺纹部分跨越骨折线并止于骨骺瘢痕正近端,从而在实现**加压的同时避免关节内穿入。

4.5
腓骨远端骨折的扩髓髓内锁定钉固定

随后使用扩髓髓内锁定钉系统固定腓骨远端骨折。选择髓内钉旨在实现最小的软组织侵扰与伤口范围,同时通过髓内承重结构获得**稳定性。该钉的设计及其提供的胫腓间锁定选项确保了极强的旋转稳定性。这些特性允许进行即刻的、以症状为导向的活动,对老年患者或其他原因无法耐受部分负重的患者尤其有益。此外,与钢板接骨术相比,髓内固定因减少了软组织剥离,可能更好地保留了骨膜血供,且文献报告其伤口愈合并发症发生率显著更低。

手术技术始于自腓骨尖向远端作短切口。锐性分离皮下组织,置入保护套筒。经套筒将导针置入髓腔并进入近端骨块。用空心开口器开髓,随后依次使用6.1毫米(远端)及3.1毫米、3.6毫米(近端)的钻头进行髓腔扩髓。扩髓过程在透视监控下进行,以避免皮质穿孔并确保钉道居中。将安装于瞄准器的腓骨髓内钉在透视引导下插入至预定深度,向外侧旋转,并用两枚前后向螺钉及两枚三皮质下胫腓联合螺钉锁定。未使用尾帽。最后于多平面进行透视记录(图5a–c)。彻底冲洗并止血后,将胫骨后肌腱复位,修复支持带,采用间断Donati缝合法分层闭合切口。敷以无菌敷料并用背侧夹板固定。

image.png

(a)

image.png

(b)

image.png

(c)

图 5. (a–c):最终术中透视图像:(a) 前后位视图,(b) 侧位视图,(c) 踝穴位视图。

05
图片
内向外技术的优势

与常规固定方法相比,由内向外技术具备多项优点。其微创特性意味着更少的软组织创伤及更低的神经血管或肌腱损伤风险。拇长屈肌腱未受侵扰,从而**限度降低了术后粘连可能。此外,手术可在患者仰卧位下完成,简化了术中操作及围手术期管理。

使用无头双螺纹加压螺钉可实现旋转稳定的固定及可靠的骨块间加压,有助于在有限显露下完成解剖精确且生物力学坚固的重建。由后向前的螺钉轨迹使内植物垂直于骨折平面,从而优化了骨块间加压并降低了继发移位风险。此方向也克服了前向后螺钉置入相关的技术限制,例如骨块摆动或复位丢失,这些在间接固定技术中时有报道。通过结合直接的骨折可视化与低侵入性的经皮螺钉路径,由内向外技术能够在避免广泛后侧软组织剥离的同时,实现可靠的复位质量。

06
图片
潜在风险与并发症

与任何外科手术一样,需考虑感染、血肿形成、伤口延迟愈合及血栓栓塞等一般手术风险。此外,由内向外固定技术存在一些特定的潜在并发症。主要关切点在于前方置入导针时可能损伤腓浅/深神经、胫前动脉或伸肌腱。充分的显露、仔细的胫骨前侧皮质准备以及始终使用钻套是关键的预防措施。螺钉置入过程中损伤腓肠神经是另一潜在风险。通过轻柔地将跟腱向内侧推移,并在置入无头双螺纹螺钉前于外侧“安全区”创建皮下通道,可降低此风险。螺钉位置不良,特别是误置于腓骨切迹内,是另一个可能的问题,可通过细致的术前规划及术中三维透视控制来避免。在本病例中,术中三维成像被证明对防止复位不良及内植物位置不当至关重要。

尽管如此,即使后下胫腓联合复合体得到稳定固定,仍可能残留下胫腓联合不稳(包括旋转不稳)。术中行外旋应力试验有助于早期发现,必要时可立即纠正。若后踝固定后仍存在不稳,则可能需要使用四皮质螺钉或弹性固定装置进行辅助的下胫腓联合稳定。

07
图片
术后管理

作者的术后治疗方案包括:患肢以术中放置的小腿背侧夹板固定约一周,以利初期伤口愈合;期间使用前臂拐杖进行不负重活动,直至软组织愈合。随后,患者改用行走靴继续保护五周。辅助措施包括患肢抬高、控制水肿、疼痛适应性镇痛以及遵循指南的血栓预防。夹板拆除后立即开始物理治疗,重点进行踝关节早期主动活动度练习。在初期愈合阶段应避免内翻及外翻运动,以保护后踝固定。通常在六周后,根据影像学显示的骨折愈合迹象及患者主观疼痛程度,允许完全负重。

08
图片
随访

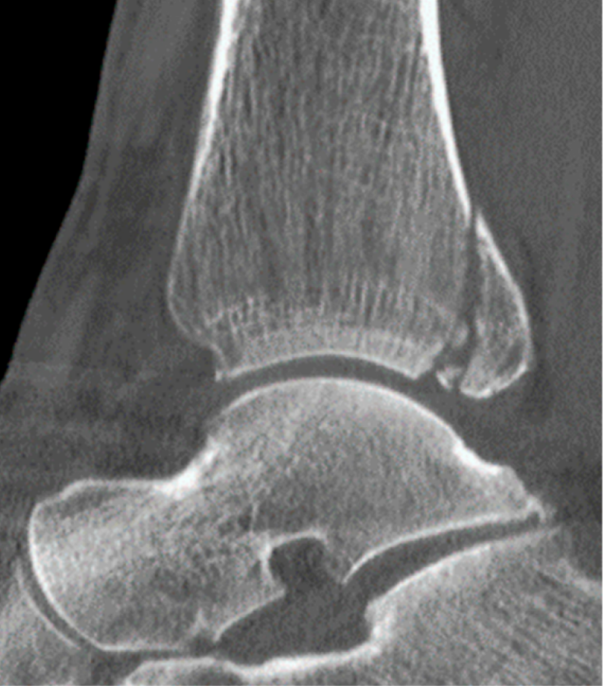
本例患者因高龄,无法安全使用助行器或遵守限制负重医嘱,故部分负重不可行。因此,早期活动是在无外部制动的情况下,根据耐受情况进行完全负重。出院前进行了术后CT扫描(图6)。

image.png

图 6. 术后CT扫描显示螺钉位置理想且解剖复位。

使用足踝结局评分及EQ-5D-5L问卷评估功能结局及患者报告指标。踝关节活动度按“中立零度法”测量。术后12个月随访时,患者背屈/跖屈活动度为20–0–40°,表明踝关节功能活动度得以恢复。

术后12个月负重X线片显示胫距关节面匹配、无台阶征,未见进展性创伤后关节炎迹象。内固定物完好。FAOS各子量表评分显示症状极轻微(症状0,僵硬0,疼痛0,日常生活活动0,体育娱乐0,生活质量1)。EQ-5D-5L问卷显示患者在活动能力、自我照料、日常活动、疼痛/不适及焦虑/抑郁维度均无问题,总体健康指数评分为95/100。

09
图片
结论

后踝的解剖复位与固定对于恢复腓骨切迹及胫骨后关节面至关重要,二者均是实现腓骨远端精确复位的基础。精确重建后踝骨块还能重建后胫距稳定性并维持后下胫腓联合复合体的完整性。手术入路的选择应基于骨折形态及相关软组织或骨性损伤情况。当采用后内侧入路,且骨折类型简单、移位轻微、允许可靠的经皮复位与稳定时,后踝的微创由内向外固定技术尤为适用。该技术将直接后踝骨块固定的生物力学优势与最小的软组织侵扰相结合,使其成为老年患者、软组织条件不佳或伤口并发症风险较高患者的理想选择。

尽管术中三维透视存在技术局限,但其在发现传统二维透视可能遗漏的细微复位不良及内植物位置不当方面极为有效。若无术中三维成像,术后计算机断层扫描对于识别旋转畸形、关节内螺钉穿入、关节内游离体或边缘关节面压缩骨折至关重要。一旦发现残留的不匹配或对线不良,建议及时手术翻修,以防发生慢性下胫腓联合不稳及继发的创伤后踝关节炎。


参考文献:

1.Wunder, J.; Gaul, L.; Gabel, J.; Mestan, A.; von Rüden, C. Modified 3D-Controlled Inside-Out Compression Screw Fixation Technique in Posterior Malleolar Fractures: A Narrative Review and Case Report. J. Clin. Med. 2026, 15, 154.

2. 图源(图片1):Fernández-Rojas E, Herrera-Pérez M, Vilá-Rico J. Posterior malleolar fractures: Indications and surgical approaches. Rev Esp Cir Ortop Traumatol. 2023 Mar-Apr;67(2):160-169. English, Spanish. doi: 10.1016/j.recot.2022.10.019. Epub 2022 Nov 9. PMID: 36371071.



【声明】本平台所分享理念、技术、原理,版权归原作者所有,供学习参考。本平台不对内容真实性、技术有效性负责,依据本平台推送内容产生的相关医疗行为,与平台无关,请审慎选择。如有侵权可联系删除。


上海市中山西路2025号永升大厦2319-2322室
400-098-2859
carewayer@foxmail.com
3289068429
登录
登录
其他账号登录:
我的资料
留言
回到顶部