创伤、肢体矫形技术解决方案的专业服务商
多年研发小儿骨科 足踝外科 肢体矫形产品 手术器械

400-098-2859
全国服务热线
上海开为医药科技有限公司欢迎您!

Injury|后踝骨折块侧向移位对下胫腓联合稳定性的影响

浏览数:31 

来源:足踝一昇


引言

踝关节骨折中后踝骨折块固定指征存在争议,尤其小型后踝骨折块(累及关节面≤25%)的固定标准未明确,缺乏共识。现有研究未明确区分Weber B型与C型骨折,对后踝骨折块影响下胫腓联合稳定性的病理因素解读不清晰。下胫腓后韧带(PITFL)附着于后踝,其完整性与下胫腓联合稳定性密切相关,但后踝骨折块形态、移位与PITFL损伤的关联尚未明确。

国外学者基于基于PITFL解剖学特征,聚焦后踝骨折块的类型(Mason和Molloy分型)与移位情况(是否存在侧向移位Lateral Displacement,LD),明确何种后踝骨折块会影响下胫腓联合稳定性。

图片

图示Mason和Molloy分型。1型:撕脱性骨折。2型:距骨旋转导致的压缩性骨折。3型:轴向负荷损伤。

研究方法

研究对象:70例伴有小型后踝骨折块(累及关节面≤25%)的Weber B型踝关节骨折患者。

评估方式:腓骨固定后,采用Cotton试验评估下胫腓联合稳定性。

关键定义:侧向移位(LD)型指后踝骨折块向外侧移位≥1mm,反之则为非LD型;骨折类型按Mason和Molloy分型(1型撕脱性骨折、2型距骨旋转压缩性骨折、3型轴向负荷骨折)。

分析重点:探讨Mason和Molloy骨折分型、LD的存在与否与下胫腓联合不稳定的关联。

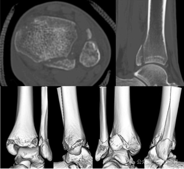
图片

图示侧向移位(LD)型后踝骨折块。后踝骨折块向外侧移位,骨折块内侧存在间隙。图示病例为Mason和Molloy 2A型。

图片

图示下胫腓后韧带(PITFL)的解剖结构,后视图。浅层附着于后踝的后外侧(绿色)。深层从腓骨后方横向延伸至胫骨远端关节面后缘,向内侧延续(红色)。

研究结果

总体不稳定率:

70例Weber B型患者中7例(10%)出现下胫腓联合不稳定;对比Weber C型患者(46.2%不稳定率),C型骨折不稳定发生率显著更高。

不同骨折类型与不稳定的关联:

Mason和Molloy 1型骨折患者中27.3%存在不稳定;

LD型骨折患者中55.6%存在不稳定,不稳定率显著更高(OR=36.88,p<0.001);

既非Mason和Molloy 1型也非LD型的患者中,仅1例(76岁女性)出现不稳定。

研究结论

大多数由外旋损伤引起的、伴有Mason和Molloy 2型后踝骨折块的Weber B型骨折,PITFL功能可能保留,通常不影响下胫腓联合稳定性。

LD型后踝骨折块提示PITFL(包括深层)完全断裂,与高发生率的下胫腓联合不稳定相关,治疗策略需重点考虑这一情况。

研究结果仅适用于Weber B型骨折,不可推广至Weber C型骨折(后者无论骨折块形态均存在下胫腓联合断裂)。

图片

图示根据损伤机制的骨折块移位模式差异。当后踝骨折由旋转损伤和距骨压缩引起时,PITFL的深层纤维往往保持完整。后踝骨折块的侧向移位提示PITFL深层纤维断裂。

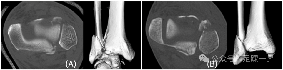
图片

图示Mason和Molloy 1型后踝骨折块。(A)伴有LD型移位的1型:提示PITFL深层断裂。(B)无LD型移位的1型:提示PITFL深层保留。



【声明】:本平台所分享理念、技术、原理,均为公开发行的期刊文献、出版书籍或网络平台资料,版权归原作者所有,平台仅进行整理、归纳并分享,供学习参考。本平台不对内容真实性、技术有效性负责,依据本平台推送内容产生的相关医疗行为,与平台无关,请审慎选择。如有侵权可联系删除。

上海市中山西路2025号永升大厦2319-2322室
400-098-2859
carewayer@foxmail.com
3289068429
登录
登录
其他账号登录:
我的资料
留言
回到顶部