创伤、肢体矫形技术解决方案的专业服务商
多年研发小儿骨科 足踝外科 肢体矫形产品 手术器械

400-098-2859
全国服务热线
上海开为医药科技有限公司欢迎您!

儿童尺桡骨远端骨折

浏览数:29 

来源:骨零年代





涉及远端桡骨和尺骨的骨折在儿童和青少年中常见。对这些儿科患者的损伤管理应包括对肢体神经血管状况的评估、相关软组织损伤的评估,以及最重要的,对桡骨和尺骨生长板可能受累的评估。这些损伤的治疗可能从单纯的石膏固定和影像学随访,到紧急复位和手术内固定不等。无论最初的治疗方案如何,主治医生都必须保持对可能影响预后的早期和晚期并发症的警惕。临床医师常常需要在患者及其家庭希望尽早恢复活动与维持受伤肢体长期功能之间取得平衡。

1

影像学表现

图片

(A) 青枝骨折,(B) buckle骨折,(C) 完全未移位骨折,(D) 完全移位骨折。

图片

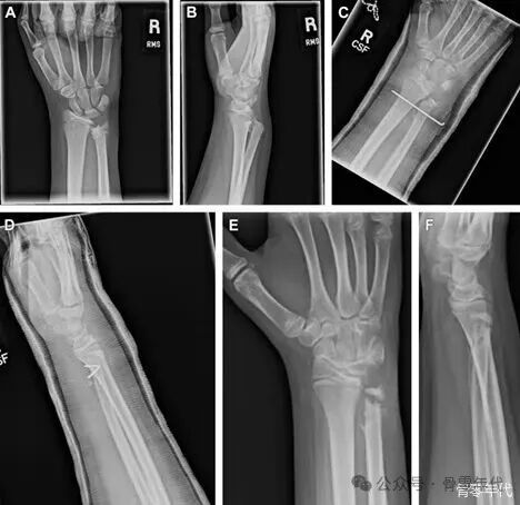
一名5岁女童从三轮车上摔下,导致远端桡骨和尺骨骨折(A、B)。该儿童在急诊室接受了闭合复位和石膏固定。两周后的随访X光显示复位良好(C、D)。受伤八周后,X光显示骨折已愈合,解剖对位良好(E、F)。

图片

Galeazzi损伤:一名10岁男孩从滑板上摔下,导致远端尺骨骨骺发生Salter-Harris 4型骨折,并伴有桡尺远端关节(DRUJ)损伤(A、B)。随后患者接受了DRUJ的钢针固定(C、D)。3个月随访X光片(E、F)。




参考文献

Gurpal S, Pannu,Marty, Herman,Distal radius-ulna fractures in children.[J] .Orthop Clin North Am, 2015, 46: 235-48.



【声明】:本平台所分享理念、技术、原理,均为公开发行的期刊文献、出版书籍或网络平台资料,版权归原作者所有,平台仅进行整理、归纳并分享,供学习参考。本平台不对内容真实性、技术有效性负责,依据本平台推送内容产生的相关医疗行为,与平台无关,请审慎选择。如有侵权可联系删除。


上海市中山西路2025号永升大厦2319-2322室
400-098-2859
carewayer@foxmail.com
3289068429
登录
登录
其他账号登录:
我的资料
留言
回到顶部