创伤、肢体矫形技术解决方案的专业服务商
多年研发小儿骨科 足踝外科 肢体矫形产品 手术器械

400-098-2859
全国服务热线
上海开为医药科技有限公司欢迎您!

独立值班了 这些骨折你都看出来了吗(附注解)

浏览数:1 

给你支个招,作为一位新手,对于独立值班多少还是有一些敬畏,有点担心病人都商量好了来找我,尤其是外伤,尤其是一个人值夜班的时候。


近来总结了一些骨折病例,与大家分享。告诉大家看这样的片子不能漏诊哦!



图片

右手拇指远节指骨甲粗隆游离骨碎片影

图片

右手拇指末节指骨见数条骨折线,骨折端对位对线尚可右手拇指末节指骨粉碎性骨折


图片

右手拇指近节远端见斜行骨折透亮线,断端稍分离移位,右手拇指近节远端骨折。


图片

右手中指远节近端背侧关节处见游离骨片影。右手中指远节骨折


图片

右手第五掌骨远端骨皮质不连续,骨折端移位、成角。右手第五掌骨骨折(1-5. 第1-5掌骨)


图片

右手第四掌骨中段、第五掌骨基底部见横行骨折透亮线,骨折端对位对线尚可。第四、第五掌骨骨折。


腕关节


图片


1.舟骨   2.月骨   3.三角骨   4.豌豆骨   5.大多角骨   6.小多角骨   7.头状骨   8.钩骨

右腕关节近三角骨、豆状骨内侧见多个游离骨碎片影,小碎骨片分离移位。考虑为,右腕关节三角骨,豌豆骨粉碎性骨折。


图片

右侧桡骨远端可见不规则透亮骨折线,并累及关节面。右侧桡骨远端骨折

尺骨茎突见游离骨碎片影。右侧尺骨茎突骨折。

肘关节


图片

左侧尺骨上段见骨折透亮线,断端稍移位成角。左侧尺骨上段青枝骨折。


Warmreminder: 青枝骨折多见于儿童,由于骨皮质韧性好,受伤时不易看出,若发现可疑骨折征象。


小妙招 嘱家属过一周~两周再复查,若是骨折,可见新生骨生长。(此患者就是踝关节扭伤,踝关节正侧位未见异常,加拍足正位时发现外踝骨折)

图片

右肘关节内侧见游离骨碎片影,侧位示骨碎片位于右肘关节背侧,右尺骨近端背侧骨质部分缺如。右尺骨近端背侧撕脱性骨折。


前臂


图片

右侧尺骨中段可见斜形骨折线,骨折端稍分离移位。右侧尺骨中段骨折。


肩关节


图片

右侧肱骨大结节骨皮质欠光整,见弧形透亮线。右侧肱骨大结节骨折。


图片

左侧锁骨肩峰端见不规则透亮线,骨折处稍移位。左侧锁骨骨折。

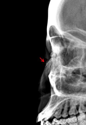
鼻骨


图片

两个病例均显示:鼻骨中远段骨质连续中断,断端向内下方移位。鼻骨骨折。

Warmreminder:鼻部受伤,有时鼻骨骨折不能做出诊断。小妙招鼻骨双侧位更容易观察。


脊柱


图片

腰椎侧位示:第1腰椎呈前低后高楔形改变。腰椎第1椎体陈旧性压缩性骨折。


Warmreminder: 陈旧性骨折多在左其他检查时发现,压缩性骨折因受伤时重力向下所致,腰椎、胸椎易发生。


(小妙招此患者腰痛来院,询问病史,十年前从楼上坠落,休息一段时间后无大碍,并没有行检查。)

髋关节


图片

左侧股骨大粗隆处见不规则透亮线影,骨折处无明显分离、移位。左侧股骨大粗隆骨折。

膝关节


图片

右侧胫骨粗隆可见低密度骨折线,骨折处稍分离移位,考虑为右侧胫骨粗隆骨折。

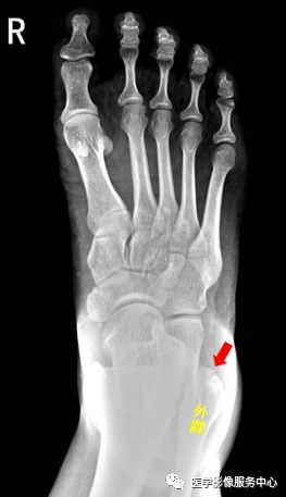
踝关节


图片

右侧外踝骨皮质连续中断,可见透亮骨折线影,可见软组织稍肿胀影。右踝关节骨折。


Warmreminder: 踝关节扭伤,许多大夫只做踝关节正侧位。有时踝关节正侧位不能看出有明显异常,而有局部软组织肿胀,活动受限时,根据我的经验,踝关节扭伤有时只做正侧位是有局限性的;小妙招足正位也是必不可少的。


此患者就是踝关节扭伤,踝关节正侧位未见异常,加拍足正位时发现外踝骨折。

图片

所示右侧腓骨远端见斜行骨折线,骨折端对位对线尚可。右腓骨远端骨折。



图片
图片

右足斜位示 右侧跟骨前部见骨折透亮线。右跟骨前部骨折。


Warmreminder: 有一些微小的骨折很容易被忽视。


小妙招1.我会先观察患者精神状态;2.了解受伤部位软组织情况,有时为明确部位,也会亲自触诊。因为有些患者对自己受伤的部位不是很清楚,忘记自己怎么受伤。

图片

左侧跟骨见骨折透亮线,后缘骨皮质连续中断。左侧跟骨骨折。

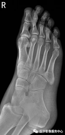
图片

右足第5跖骨基底部见骨折线,断处稍分离移位。右足第5跖骨基底部骨折。


Warmreminder: 儿童时期足第5跖骨处有骨骺存在,骨骺线易与骨折线混淆,小妙招给你,骨骺线的长轴一般是与第5跖骨长轴平行,而第5跖骨多是横行骨折,换言之骨折线与第五跖骨长轴垂直。


分享也是一种学习方式,有不足之处,请指正。


来源:医学影像服务中心


声明:版所有,仅用于学习交流,若涉及版权等争性议问题,我们无意侵犯您的权益,请及时联系我们,我们会**时间核实删除。




上海市中山西路2025号永升大厦2319-2322室
400-098-2859
carewayer@foxmail.com
3289068429
登录
登录
其他账号登录:
我的资料
留言
回到顶部